Dal 1955
qualità, esperienza,
convenienza e velocità d’esecuzione
al servizio dell’odontoiatria.
Con strumentazioni all'avanguardia siamo specializzati nella produzione di protesi mediche odontoiatriche su misura.

Il laboratorio
Il laboratorio odontotecnico OROINMAN
nasce nel 1956 per mano di Giuseppe Romanoni,
medaglia d’oro alla carriera,
un pioniere dell’odontotecnica in Italia.
Ad oggi sono lontane le tanto bramate corone
stampate in acciaio tanto in voga in quei tempi
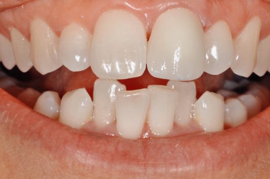
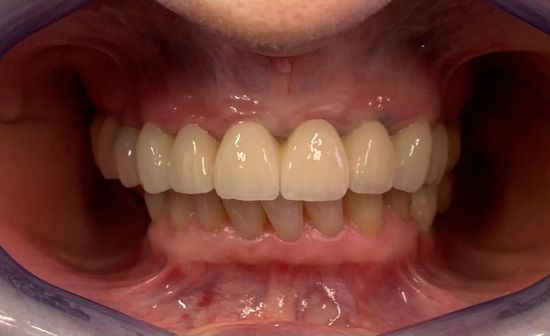
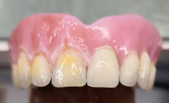
lasciando spazio alle più moderne metalfree crowns di Zirconia, ceramica e dissilicato di litio.
Ciao, sono
ROMANONI RICCARDO
OROINMAN 3D
DENTAL DINAMIC DESIGN



